אסתטיקה במרפאת ד"ר אוסטרמן
אסתטיקה במרפאת ד"ר אוסטרמן
★
שיניים לבנות וחיוך יפה הם סמל של בריאות, יופי , נעורים , רווחה נפשית , חומרית וגופנית ,סמל של מעמד ,און והון.
★
החיוך שלך הוא לא רק כרטיס הביקור שלך , הוא מרכיב חשוב של האושר האישי שלך וגם ...חלון קטן לפנימיות שלך. אנחנו מחייכים כל הזמן , כשאנו שואלים שאלה , מבקשים בקשה , אפילו .... כשאנו מתנצלים.
★
רפואת השיניים האסתטית והקוסמטית כוללת את כל אותם טיפולים שעוזרים לך לשפר את החיוך.
★ תחום האסתטיקה הדנטלית אינו עוסק רק בנראות השיניים אלא בראש ובראשונה – בבריאותן , ובבריאות החניכיים , שכן לא תתכן אסתטיקה ללא בסיס איתן של שיניים ורקמות תומכות - בריאות , ומתוחזקות כראוי.
★
אסתטיקה דנטלית אמנם איננה תחום התמחות רשמי. ואולם, חשיבות מכרעת נודעת לבחירת רופא השיניים שיופקד על שיקום הפה והאסתטיקה. רצוי , שיהיה זה רופא ותיק ומנוסה בתחום זה ,רופא שבנוסף להסברים יוכל להציג לך טיפולים אסתטיים מוצלחים שביצע , שיבדוק את מצב השיניים, יצלם אותן , ויתווה , לצד חלופות אחדות , תכנית שיקומית שמטרתה להחזיר לשיניים את יופיין הטבעי, עמידותן לאורך זמן , ואת הברק והלובן .
★ במרפאת ד"ר אוסטרמן קיים ניסיון מצטבר ייחודי בתחום האסתטיקה והקוסמטיקה הדנטלית , עם הצלחות מצולמות במגוון רחב של טיפולים אסתטיים ,החל בהלבנת שיניים , דרך שחזורים וציפויים , ועד לשיקום פה מורכב על גבי שתלים.
יישור שיניים
• אם יש לך במקרה שניים צפופות – כאלה שאינן מסודרות יפה " כתף אל כתף " ,
• או אולי הטרידו אותך ההיפך מזה - רווחים בין השיניים ,
• אולי התביישת בגלל שן קדמית שהתמקמה לה מחוץ לקשת השיניים ,
אם רצית לתקן סגר לקוי בפגישות בודדות , בלי להיכנס לפרויקט "יישור שיניים" ממושך ,
מתברר שיש חלופה טובה ליישור שיניים סטנדרטי , שאורך לעתים שנים .
חלופה , שהיא לעתים יותר זולה אבל תמיד , ממש תמיד – יותר מהירה . הרבה יותר.
חשוב לבחון תחילה את האופציה של יישור שיניים אצל אורתודונט
מומחה .
אך יש לקחת בחשבון כי לרפואת שיניים אסתטית יש כלים מצויינים לטיפול .
אני מאמין שהתמונות שלהן , ממרפאת ד"ר אוסטרמן , יוכלו לשכנע אותך בכך .
ציפויי חרסינה – למינייט
מהם ציפויי חרסינה ?
אלו ציפויים לשיניים קדמיות העשויים מחרסינה בעובי של כחצי מילימטר ומטרתם לצפות את השטח הקדמי של שיניים בעלות גוון או צורה לא אסתטיים.
זהו לא רק פיתרון אסתטי יוצא מן הכלל אלא גם שמרני , זעיר פולשני . רפואת שיניים טובה היא זו המשמרת את מרב חומר השן ,תוך שהיא פותרת בעיה תפקודית ו/או אסתטית .
יתרונות של ציפויי חרסינה
• שימור חומר שן - הציפוי שמרני יותר מכתר חרסינה מלא המקיף את כל השן וכרוך בהסרת חומר שן רחבה יותר.
• אסתטיקה מיטבית - החרסינה הדנטלית היא בעלת שקיפות הדומה לזו של זגוגית השן, אינה עוברת שינויי צבע , שומרת על פני שטח חלקים ונחשבת לחומר השחזור האסתטי בעל ההתאמה הביולוגית הטובה ביותר מבין החומרים אשר בשימוש כיום ברפואת השיניים.
• לציפויי חרסינה יכולת פתרון בעיות אסתטיות מגוונות , כגון סגירת רווחים , תיקון שיניים קדמיות שבורות , צרות , רחבות , או בעלות גוון או מיקום בעייתי.
ציפויי קומפוסיט
לעתים קרובות ניתן ואף מומלץ לבצע ציפויים באמצעות חומרי קישור ושחזור השייכים לקבוצת החומרים המרוכבים – composite resins .
בשימוש מקצועי נכון וקפדני , מתקבלים ציפויים שהם בעלי חוזק ואסתטיקה מצויינת . ציפויים אלה גם זולים משמעותית מציפויי חרסינה , אך מצריכים תחזוקה אחת לכמה שנים על מנת לשמר את צורתם וצבעם .
להלן דוגמאות לציפויי חרסינה וציפויי קומפוסיט שבוצעו במרפאת ד"ר אוסטרמן :
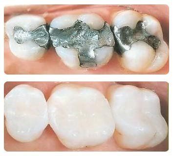
סתימות לבנות
מהי עששת ( "חור" בשן )?
• זוהי מחלה זיהומית שבה מתרחש תהליך הרס הרקמות הקשות של השיניים - האמייל והדנטין .
• ההרס נגרם כתוצאה מפעולתם של חיידקים הנמצאים על השיניים . עששת עלולה לגרום לאי נוחות , לכאב , להפרעה בתפקוד (לעיסה, דיבור) , ולפגיעה באסתטיקה של החיוך והפנים.
• עששת קשורה בהרגלי צריכת הסוכרים , באיכות וקצב הפרשת הרוק , במבנה והרכב השיניים עצמן וכמובן - בהרגלי ההיגיינה .
איך מטפלים בעששת ?
• לפני הכל , באמצעות מניעה
• תזונה נכונה ומאוזנת ,
• שיפור הרגלי ההיגיינה ,
• טיפול תקופתי לפחות אחת לחצי שנה אצל השיננית ,
• וביקורת תקופתית אצל רופא שיניים.
• באמצעות סתימה לבנה , או שחזור בצבע השן
• ככל שהטיפול בעששת יהיה מוקדם כך השן תישמר טוב יותר .
• השחזור עובר קישור מיוחד לחומר השן , הוא חזק , ומשתלב היטב במראה השניים.
סתימות חרסינה (מילואות) : אינליי, אונליי (Inlay , Onlay)
• במקרים של הרס נרחב של השן ניתן לבצע שחזור חרסינה , שהוא חזק , המותאם לתוך השן או על גבי השן הנותרת , מתחבר אליה ומשלים את חומר השן ההרוס .
• המילואה מהווה כיום במקרים רבים חלופה מצויינת לכתר החרסינה המסורתי , ויתרונה בשימור השן המקורית , תוך התערבות מינימאלית , וטיפול קצר .
שן קדמית שבורה
שבר בשן קדמית הוא ארוע נפוץ אצל ילדים , וגם אצל מבוגרים .
חבלה בשניים מהווה מקרה חרום שיש לאבחן ולטפל בו בהקדם האפשרי , על מנת להציל את השן שנפגעה , וכדי למנוע נזק נוסף . כמו כן , מומלץ לבצע מעקב תקופתי .
לאחר בדיקה מדוקדקת , במרפאת ד"ר אוסטרמן שן קדמית שבורה משוחזרת באופן לא פחות ממושלם
, בד"כ בפגישה אחת או שתיים . לא יותר .
הנה כמה דוגמאות לטיפול שיקומי ואסתטי בשן קדמית שבורה במרפאת ד"ר אוסטרמן :
הלבנת שינים
מה זה בעצם ?
המינוח הנכון הוא "הבהרת שיניים" . זהו טיפול אסתטי להבהרת צבע השן . ההבהרה היא תהליך שבו חומר מחמצן בצורת ג'ל מונח על השיניים , גורם לפירוק חומרי צבע שהצטברו בכותרת השן, מבלי להזיק לה , ויוצר לבסוף מראה בהיר יותר של השן .
איך עושים את זה ?
התהליך יכול להתבצע במרפאה , או בבית , כאשר המתרפא מקבל ערכה הכוללת מזרקים של הג'ל המלבין וסד שקוף שהוכן על-ידי רופא השיניים על-פי דגם שיניו הייחודי של המטופל. משך הזמן שהחומר הפעיל צריך להיות בפה משתנה בהתאם לריכוזו . חשוב שתהליך ההבהרה יהיה תחת השגחתו של רופא השיניים .
תופעות לוואי ?
בשימוש בחומרי הלבנה בריכוז גבוה יכולה להתפתח רגישות בשיניים , החולפת תוך ימים ספורים . בשימוש מושכל ועל פי ההוראות , ותחת השגחה רפואית , התהליך אינו פוגע לא בשיניים ולא בחניכיים .
האם משחת שיניים מלבינה ?
חד משמעית – לא . משחות "מלבינות" למיניהן עלולות להזיק בשימוש יום יומי ארוך טווח , כיוון שהן מכילות גרגור גס השוחק את צווארי השיניים וגורם לרגישות בכל השינים . גרגור זה נועד להסרת כתמי צבע מהשן , והוא אכן עושה זאת גם אם חלקית לעתים קרובות . לא מומלץ להשתמש במשחות אלה יום יום ולטווח ארוך , אם כי הן עשויות לסייע בתחזוקה של שיניים שעברו הבהרה .
האם "פסי הלבנה " עובדים ?
התשובה היא – כן , אבל חלקית , ולטווח זמן לא ארוך , כיוון שחומר ההלבנה בפסים הוא בריכוז נמוך . כמו כן ההבהרה אינה אחידה כיוון שהפס לא בא במגע עם שטח פנים גדול מספיק של השן.
זה מצליח ?
הצלחת ההלבנה היא טובה בדרך כלל , אולם השפעתה איננה אחידה ומשתנה מאדם לאדם. ההבהרה היא רק של השיניים , לא של כתרים , לא של סתימות . כמו כן הגוון הסופי שהושג דוהה חלקית לאחר כמה חדשים , אם כי ניתן " לתחזק" אותו ע"י שימוש חוזר בג'ל ההלבנה מדי פעם .
מטופלים רבים מבקשים להידמות לדוגמנים ולדוגמניות בפרסומות , אולם מתעלמים מהעובדה שמה שהם רואים הוא בחלקו תולדה של עריכה גראפית , ולא צבע השיניים המקורי .
בנוסף, התהליך עשוי אמנם לשפר משמעותית את צבע השיניים, אולם אין לו השפעה על סידור השיניים, או על צורתם . עיצוב החיוך בדרך כלל כרוך בטיפולים נוספים .
שורה תחתונה :
חשוב לבחור את רופא השיניים המנוסה בהלבנת שיניים , כדי שתקבלו את הטיפול הכולל והנכון לקבלת חיוך מושלם .
עיצוב החיוך
טיפול שיניים אסתטי נועד לשפר את בריאות הפה ולשנות באופן דרמטי את הבעת פנים .
זהו בדרך כלל טיפול קצר , של 2 - 3 פגישות , אך לעתים יש צורך בשיקום פה מורכב , של משנן חסר או פגום . יחד עם תפקודו התקין של המשנן , ולא פחות חשוב , משוקם גם החיוך .
טיפול כזה מצריך וותק מקצועי ,ידע וניסיון קליני רב מצד הרופא המטפל .
מומלץ להגיע לרופא שיניים בעל יכולת מוכחת בתחום שיקום הפה והאסתטיקה הדנטאלית.
לד"ר אוסטרמן קרוב ל-30 שנות נסיון ברפואת שיניים אסתטית ומשקמת .לרשותכם גלריה עשירה של טיפולים .
להלן דוגמאות ממרפאת ד"ר אוסטרמן :



















